WhatsApp

Sorria com confiança

Tratamentos odontológicos de alta qualidade para toda família

+10 anos de experiência
Atendimento 5 estrelas
Profissionais certificados

Quem Somos

Marina Ribeiro Odontologia é uma clínica com mais de 10 anos de experiência, dedicada a oferecer tratamentos de alta qualidade em um ambiente acolhedor e confortável.

Nossa equipe é composta por profissionais qualificados e apaixonados pela odontologia, sempre atualizados com as mais recentes técnicas e tecnologias para garantir o melhor tratamento para nossos pacientes.

Acreditamos em uma abordagem personalizada, entendendo que cada paciente tem necessidades únicas. Nosso objetivo é não apenas tratar problemas dentários, mas promover a saúde bucal completa e a autoconfiança através de sorrisos bonitos e saudáveis.

Atendimento Humanizado

Tratamos cada paciente com atenção personalizada

Equipamentos Modernos

Utilizamos tecnologia de ponta para diagnósticos precisos

Equipe Especializada

Profissionais com formação e atualização constante

Clínica Marina Ribeiro Odontologia - Ambiente moderno e acolhedor

Nossas Especialidades

Clínica Geral

Realizamos diagnóstico, prevenção e tratamento de doenças bucais, mantendo a saúde e funcionalidade dos dentes e gengivas.

Saiba mais

Ortodontia

Correção do alinhamento dos dentes e da oclusão para melhorar a estética do sorriso e a função mastigatória.

Saiba mais

Implantodontia

Substituição de dentes perdidos por implantes, restaurando a funcionalidade e estética com soluções duradouras.

Saiba mais

Estética Dental

Procedimentos para melhorar a aparência do sorriso, incluindo clareamento, facetas e restaurações estéticas.

Saiba mais

Endodontia

Tratamento de canal realizado com técnicas modernas e indolores para salvar dentes com comprometimento do nervo.

Saiba mais

Odontopediatria

Cuidados específicos para crianças, com atendimento lúdico e acolhedor para garantir experiências positivas desde cedo.

Saiba mais

Resultados Reais

Confira alguns dos resultados do nosso trabalho

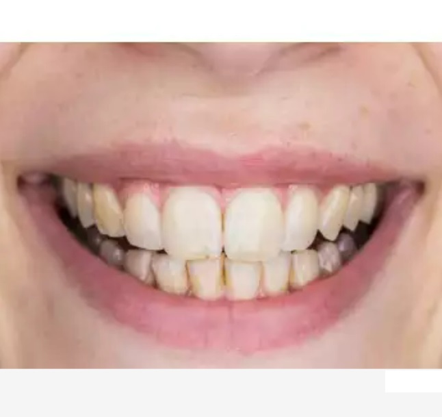
Antes do tratamento de ortodontia Antes
Depois do tratamento de ortodontia Depois

Tratamento Ortodôntico

Correção de alinhamento com aparelho fixo. Tratamento de 18 meses.

Antes do tratamento de clareamento Antes
Depois do tratamento de clareamento Depois

Clareamento Dental

Clareamento em consultório. Resultado em apenas 3 sessões.

Depoimentos

4.9 de 5 - Baseado em 48 avaliações no Google

"Desde que comecei meu tratamento na clínica Marina Ribeiro Odontologia, percebi a diferença no atendimento. A atenção aos detalhes e o cuidado com que fui tratado me deixaram muito satisfeito. Recomendo a todos!"

Carlos Silva

Paciente desde 2021 • Tratamento de Implante

"O tratamento ortodôntico superou minhas expectativas. A Dra. Marina e sua equipe sempre me explicaram todo o processo com clareza e paciência. O resultado foi um sorriso transformado!"

Ana Paula Mendes

Paciente desde 2020 • Ortodontia

"Meus filhos sempre tiveram medo de ir ao dentista, mas depois que conheceram a Marina Ribeiro Odontologia, a história mudou. O ambiente acolhedor e a abordagem gentil fizeram toda a diferença!"

Mariana Rocha

Paciente desde 2019 • Odontopediatria

Perguntas Frequentes

Quais convênios são aceitos?

Aceitamos os principais convênios odontológicos, incluindo Uniodonto, Odontoprev, Bradesco Dental, Amil Dental e outros. Entre em contato para verificar seu convênio específico.

Quanto tempo dura o tratamento ortodôntico?

O tempo de tratamento varia conforme cada caso. Geralmente, tratamentos ortodônticos duram entre 18 e 36 meses, dependendo da complexidade do caso. Em sua primeira consulta, faremos uma avaliação completa e apresentaremos um plano de tratamento personalizado.

A clínica atende emergências?

Sim, oferecemos atendimento de emergência para casos de dor intensa, trauma dental, abcessos, restaurações quebradas e outras situações urgentes. Entre em contato pelo WhatsApp para atendimento prioritário.

Qual a idade mínima para iniciar tratamento ortodôntico?

Recomendamos uma primeira avaliação ortodôntica por volta dos 7 anos de idade, quando os primeiros dentes permanentes começam a erupcionar. Isto permite detectar precocemente problemas potenciais e planejar intervenções no momento adequado.

Oferecem opções de pagamento parcelado?

Sim, temos diversas opções de pagamento incluindo parcelamento em até 12x no cartão de crédito, pagamento à vista com desconto e planos personalizados para tratamentos mais longos. Desenvolvemos um plano financeiro que se ajuste ao seu orçamento.

Onde Estamos

Endereço

Rua Joaquim Jurandyr Collares, 162 - Oficinas
Ponta Grossa - PR, 84036-145
Como chegar

Horário de Atendimento

Segunda a Sexta: 8h às 18h

Sábado: 8h às 12h

Fale Conosco

Preencha o formulário abaixo para agendar sua consulta ou tirar dúvidas

Preferência por WhatsApp?

Escaneie o QR Code abaixo para iniciar uma conversa diretamente pelo WhatsApp.

QR Code para WhatsApp
Iniciar conversa